R. Mills

Before

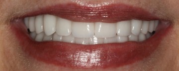
After